黑黃牙洗牙多少錢
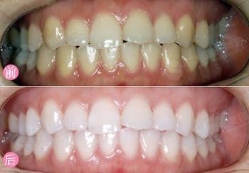
黑黃牙洗牙多少錢?無論是長得有多么好看的人,只要開口笑或者說話的時候出現牙黑牙黃的現象,都是會讓人覺得一下子就沒好感了。那么黑黃牙洗牙多少錢?下面就請漳州附屬口腔醫(yī)院專家為我們詳細介紹下。
黑黃牙洗牙多少錢
漳州附屬口腔醫(yī)院醫(yī)生表示,根據個人的自身情況以及口腔的復雜程度做出適合有效的方案制定。不同的人口腔情況都是有所差異的,口腔復雜程度的不同對一般醫(yī)院洗牙多少錢也存在著影響因素。
個人口腔實際情況決定了洗牙要采用什么儀器和技術。以牙齒過敏者為例,要想實現舒適洗牙,需要選擇脫敏洗牙技術,這種技術可使洗牙過程在一個非常舒適的狀態(tài)下完成,洗牙者本身不會有任何痛苦與不適。但這種技術的使用會增加一般醫(yī)院洗牙多少錢。
洗牙有很多的好處,定期洗牙可以幫助我們牙齒更加健康,可以清潔牙齒里牙垢,去除牙菌斑,很多煙民朋友就會想要去洗牙,不僅可以去除煙漬,還可以去除牙垢。
漳州附屬口腔醫(yī)院專家溫馨提示:以上是關于“黑黃牙洗牙多少錢?”的詳細介紹,如果您還想了解更多關于牙齒、口腔健康的信息,可以【在線咨詢】我們的口腔專家,或撥打我們的愛牙熱線【0596-2557333】免費咨詢。漳州附屬口腔醫(yī)院愿您早日擁有潔白健康的牙齒!
看完這篇文章您的感受是:
-
祈禱
1人
-
難過
1人
-
擔憂
1人
-
震驚
1人
-
有幫助
1人
-
不解
1人















